Zombosomas: mensajeros celulares que pueden propagar patologías neurodegenerativas
Los astrocitos son células esenciales para el funcionamiento de nuestro sistema nervioso central. Sus funciones son diversas, ofrecen soporte estructural y metabólico a las neuronas, regulan el ambiente extracelular, proporcionan nutrientes, eliminan desechos, y participan en la respuesta a lesiones. También modulan la actividad sináptica y participan en la formación y mantenimiento de la barrera hematoencefálica, responsable de seleccionar qué sustancias, nutrientes o medicamentos pueden entrar al tejido cerebral (Figura 1).

Los astrocitos pueden recolectar proteínas que serían tóxicas para las neuronas. Un ejemplo es la a-sinucleína, una proteína abundante en las neuronas. Se caracteriza por carecer de una estructura definida. Su conformación tridimensional puede variar dependiendo de las condiciones del medio. La a-sinucleína desempeña funciones variadas, interaccionando con lípidos y otras proteínas, regulando el tráfico de vesículas sinápticas portadoras de neurotransmisores, y participando en la reparación del ADN.
La a-sinucleína desempeña importantes funciones, pero también puede causar problemas graves. Si la proteína se despliega de forma anómala, termina formando agregados insolubles que se acumulan en las neuronas, causando daños y, eventualmente, la muerte celular. El conjunto de estas situaciones patológicas se denomina sinucleinopatías, e incluyen la enfermedad de Parkinson y la demencia con cuerpos de Lewy (DCL), la tercera causa más frecuente de demencia tras la enfermedad de Alzheimer y la demencia vascular. Los cuerpos de Lewy son acumulaciones de a-sinucleína agregada que se observan en la sustancia negra de pacientes con Parkinson y en la corteza cerebral de pacientes con DCL (Figura 1).
Un mecanismo que tienen las neuronas para librarse de los agregados tóxicos de a-sinucleína es la transferencia a los astrocitos, un proceso que debería mantener sanas a las neuronas. Aquí es donde entran en escena los zombosomas (un nombre derivado de “ectosomas zombis”) recientemente descubiertos por un grupo sueco liderado por Anna Erlandsson, neurobióloga de la Universidad de Uppsala. Se trata de grandes vesículas (5-15 micrómetros) emitidas por los astrocitos. Carecen de núcleo, pero tienen mitocondrias y otros orgánulos celulares, además de un compacto citosqueleto formado por vimentina, una proteína estructural. Por ello, pueden mantenerse vivos durante algún tiempo. Los zombosomas han sido observados en cultivos de astrocitos, como podemos ver en el siguiente vídeo (de Dakhel et al. 2026, cita completa en referencias, CC-BY 4.0):
Son capaces de adherirse al sustrato y desplazarse activamente, como se muestra en este otro vídeo de los autores del artículo:
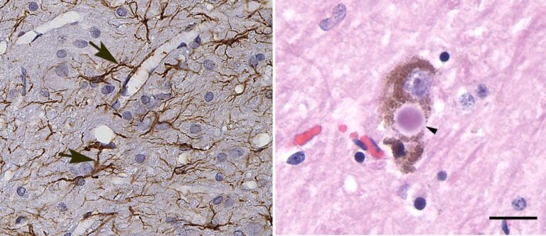
La alerta ha surgido al comprobar que los zombosomas pueden cargarse de agregados de a-sinucleína acumulados en el astrocito y transferirlos a las neuronas presentes en el cultivo y a organoides cerebrales, modelos tridimensionales de minicerebros cultivados en laboratorio a partir de células madre humanas o tejido fetal (Figura 2). Este transporte invierte la “ruta de desintoxicación” deseable para las neuronas. De esta forma, los zombosomas podrían tener un papel importante en la extensión del Parkinson y la DCL a neuronas sanas, agravando la enfermedad.

Aquí se muestra en otro vídeo del mismo artículo cómo un zombosoma cargado con agregados de a-sinucleína (teñidos en rojo) termina incorporándose a una célula del cultivo:
Todo esto plantea numerosas cuestiones que serán, sin duda, investigadas en el futuro. Parece evidente que los zombosomas deben tener funciones fisiológicas beneficiosas para las células en condiciones normales, aunque no sabemos cuáles son. Los zombosomas pertenecen a una familia, cada vez mayor, de vesículas extracelulares de tamaños y orígenes muy diferentes. Las vesículas extracelulares participan en la comunicación intercelular, transportando entre células moléculas de todo tipo. Se ha sugerido que los zombosomas estarían relacionados con los recientemente descritos blebbisomas, emitidos por células normales y tumorales. Los blebbisomas son similares a los zombosomas en cuanto a tamaño y contenido, pero no son producidos por células nerviosas, no tienen un citoesqueleto compacto de vimentina, y son menos móviles. Esto ha planteado un debate sobre si se trata de dos manifestaciones de un mismo proceso celular.
Un segundo aspecto esencial es conocer si los zombosomas realmente participan en procesos fisiológicos en cerebros vivos, incluso si realmente existen in vivo, ya que solo han sido observados en cultivo. Los investigadores suecos estudiaron secciones histológicas de cerebros humanos, y localizaron vesículas extracelulares ricas en vimentina de tamaño similar al de los zombosomas. Algunas vesículas contenían agregados de a-sinucleína (Figura 2).
Si los zombosomas participan realmente en la propagación de sinucleinopatías dentro del cerebro, su bloqueo podría constituir una vía para el tratamiento de unas patologías extremadamente graves y que actualmente no tienen tratamientos eficaces.
Referencias
Dakhel, A., Beretta, C., Mothes, T. et al. (2026). Zombosomes are anucleated cell couriers that spread α-synuclein pathology. Cell Rep. https://www.cell.com/cell-reports/fulltext/S2211-1247(25)01603-1
Sobre el autor: Ramón Muñoz-Chápuli Oriol es Catedrático de Biología Animal (jubilado) de la Universidad de Málaga.
